
Genetically targeted drugs could well be one of the most significant breakthroughs in the fight against cancer.
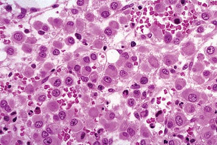
Over the recent past, the sequencing of the human genome has been considered as perhaps the most important step in medicine. We may soon be seeing the first benefits with the announcement of trial results of a drug for a cancer of melanoma cells usually found in the skin. In the trial, tumours shrank by at least 30 per cent in 24 out of 32 patients with a particular mutation, and disappeared entirely in two other patients. This particular mutation—B–Raf—occurs in a majority of people afflicted by the disease. Considering that the life expectancy after diagnosis for advanced melanoma remains less than a year, this is a breakthrough of such magnitude that some media reports have compared this to the discovery of the first antibiotic—the 'Penicillin moment'.
Richard Marais at the Institute of Cancer Research in London whose team first identified the B-Raf mutation in 2002, says, "It's spectacular. There's been a paradigm shift in how you would treat melanoma." Building on Marais' work, Plexxikon, a biotech company in California, started looking for compounds that could block the effects of the B-Raf mutation. Initial trials of the drug PLX 4032 were disappointing till the drug was reworked to ensure it was more easily absorbed by the body. The trial results, though, are just the first step in this programme.
As has been the case in most cancers, researchers expect that the cancer would reoccur, but they are sure a combination of other drugs could control the resurgence. But the approach holds out the promise of similar success against many other types of cancer which are often the result of genetic mutations. Yardena Samuels, a cancer geneticist at the National Human Genome Research Institute in Bethesda, Maryland, told Nature, "It's a very important development, not just for melanoma, but for the entire cancer field."
31 Oct 2025 - Vol 04 | Issue 45
Indians join the global craze for weight loss medications